Skip to main content

Meet Some Local Smiles.

Join Our Smile Community.



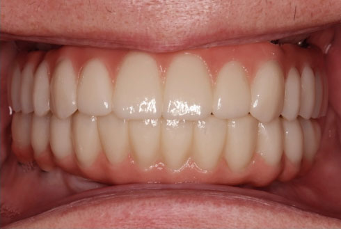
Meet Some of Our Patients

As a practice focused on serving the community, we feel it’s best that you learn about us from the community. Here’s what some of our patients have to say about trusting their teeth to Bratton Dental Co.

If you’re nervous about visiting a dentist, Dr. Bratton Is the person you need to see. She’s extremely talented but more importantly, makes you feel at ease in her office. Would highly recommend to anyone who’s searching for a new dental office in St. Joseph 10/10

- Tanner B.

Dr. Bratton is phenomenal! I first started seeing her as my dentist and we started to talk about my discomfort with my jaw. She advised on some first steps we could make to help with the pain and go from there. I feel like I’m getting my life back. She truly cares about her patients and works to find the best solutions tailored to you. I live in Kansas City but I will drive to St. Joe to continue to get her amazing care! Office and staff are fantastic too! Call and book today!

- Molly M.

I have had bad experiences at the dentist throughout my life and because of this I neglected my teeth for a long time. About a year ago I gave dr bratton a shot after someone recommended her. She has done root canals, fillings, extractions on me you name it. I no longer have a fear of the dentist. She makes sure you’re 100% comfortable. It is always a good experience going to that office and dealing with any of them.

- Jake M.